32歳・妊娠中に矯正を始めた、ちくわです。
今回は、初診〜診断結果、そして実際に提示された治療プランについてまとめます。
妊娠中の矯正は情報が少なく、不安になることも多いので、どなたかの参考になれば嬉しいです。
歯科医院の選び方
私の場合、保険適用の外科手術を併用する可能性が高いと最初から覚悟していたため、
- 家から通える範囲
- 治療実績・症例が多い
この2つを軸に病院を選びました。
選んだ矯正歯科はとても人気で、予約は1ヶ月先が当たり前。
悩みながら始めたタイミングや妊娠発覚もあり、初回カウンセリングから契約まで9ヶ月かかりました。
また、基本は歯科助手さんが対応し、先生は必要なタイミングでピンポイントに治療・説明をするスタイル。
私は先生との相性を重視していなかったこともあり、検査結果の資料が丁寧だったため、すぐにこの病院に決めました。
1.初診カウンセリング
時期:2024年12月
費用:3,000円(後に保険適用で720円)
レントゲン・写真撮影を行い、ざっくりと治療方針の説明がありました。
この段階で言われたのは、
「精密検査をしないと断定できないけれど、手術が必要になりそう」
ということ。
まだ矯正を始めると決めていなかったので、夫と相談するため一度持ち帰ることにしました。
(次回の精密検査は約4万円かかるため)
2.精密検査
時期:2025年4月
費用:42,000円(後に保険適用で約7,300円)
夫や実家と話し合い、自分の意思が固まったのは2025年2月。
ですが、土日しか通院できず、次に取れた予約が4月。
この時点で、
「矯正を優先しないとスケジュールがどんどん伸びる」
という現実を痛感しました。
さらに4月の検査時には体調不良があり、
「もしかして妊娠してる…?」
という状況。妊娠検査薬は陽性でしたが、産院の予約は精密検査後の日程に。
そのため、
- CT撮影を含む精密検査を受ける
- 妊娠の可能性についてはまだ伝えない
という判断を自己責任で行いました。
(※妊娠中の検査を推奨するものではありません)
幸い、つわり前で体調も安定しており、無事に検査終了。
頭のレントゲンや歯型など、より詳しい検査を行いました。
3.結果を聞きに
時期:2025年6月
費用:0円(後に保険適用で約7,000円)
診断名は……
叢生(そうせい)をともなう重篤な骨格性上顎前突開咬症(小顎症)
かなり大層な名前をいただきました。(泣笑)
噛み砕くと、以下の状態です。
- 上顎が前に突出し、顎が小さい
- 上下の歯が垂直に噛み合わず、前後にずれている(開咬)
- 歯並びがガタガタ(叢生)で、奥歯が上下ずれている(シザーズバイト)
- 上下の前歯が斜め前に出ている
- 口元が前に出ており、唇が閉じられず緊張状態
そして先生からは、
「根本改善には外科手術が必須」
との説明。
カモフラージュ的に矯正のみも可能とのことでしたが、今回の矯正に望むことを考えると選択肢は外科手術一択でした。
4.治療プランについて
矯正終了までは、3〜5年かかる可能性があると言われています。
大まかな流れは以下の通りです。
- MSE上顎急速拡大装置の装着
- 大学病院受診
- 抜歯
- 矯正装置装着
- 大学病院で入院・手術
- 術後矯正(3年〜)
- 保定・メンテナンス
このプランを提示されたのは妊娠12週。
リスクが下がってきたタイミングだったため、ここで妊娠していることを病院に報告しました。
先生からは、
「出産後に開始でもいいけれど、治療期間や年齢を考えると早めがいい」
とのこと。
一方で歯科助手さんからは、
「妊娠中の器具装着は負担になるかも…」
と心配の声もありました。
妊娠中に始めるかどうか
自分だけでは決めきれず、
- 夫
- 産院
に相談するため、この日は予約を取らずに帰宅。
また、出産後に開始する場合は半年以上空くため、
「再度精密検査が必要になる可能性」
も説明を受けました。
この後どう決断したかは、次回の記事で書きます!
写真について
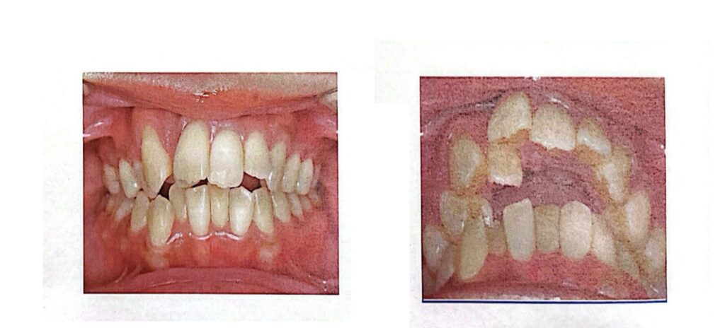
この後、参考として矯正前の歯並びの写真を掲載します。
苦手な方はここで終了していただければ幸いです。
最後までお読みいただき、ありがとうございました!
・
・
・
・
・
・
・
・
・
・
・
・
・
・
・
↓現状の歯並びの写真です!
我ながらすごくガタガタですね…。前歯横の歯と前歯がほぼ重なっており、上下の前歯の間の噛み合わせのズレも大きいです。



コメント